Ecografia a Caserta con ecodoppler ed ecocolordoppler
CE.DI.R. è un centro radiologico con sede a Marcianise dove ti aspettano professionisti preparati e attrezzature all’avanguardia per esami accurati, sicuri e non invasivi. Siamo uno studio convenzionato e accreditato con il Servizio Sanitario Nazionale da anni apprezzato per l’assistenza con ecografia a Caserta.
I nostri esami sono disponibili solo su prenotazione:
contatta ora la sede per fissare un appuntamento o per informazioni sulle convenzioni attive.
Gli esami disponibili
Le nostre attrezzature per l’ecografia a Caserta ci consentono di eseguire un controllo accurato per la diagnosi di patologie e disturbi che riguardano svariate parti del corpo.
Eseguiamo ecografie dell’addome e dei pelvi, del collo, della tiroide, dei testicoli, della prostata, del retto, della cute e dell’anca neonatale.
Possibilità di effettuare agoaspirati e agobiopsie ecoguidati di tiroide e mammella
Ci occupiamo anche di mammografia, ecografia osteoarticolare, ecografia muscolo-tendinea ed ecocolordoppler.
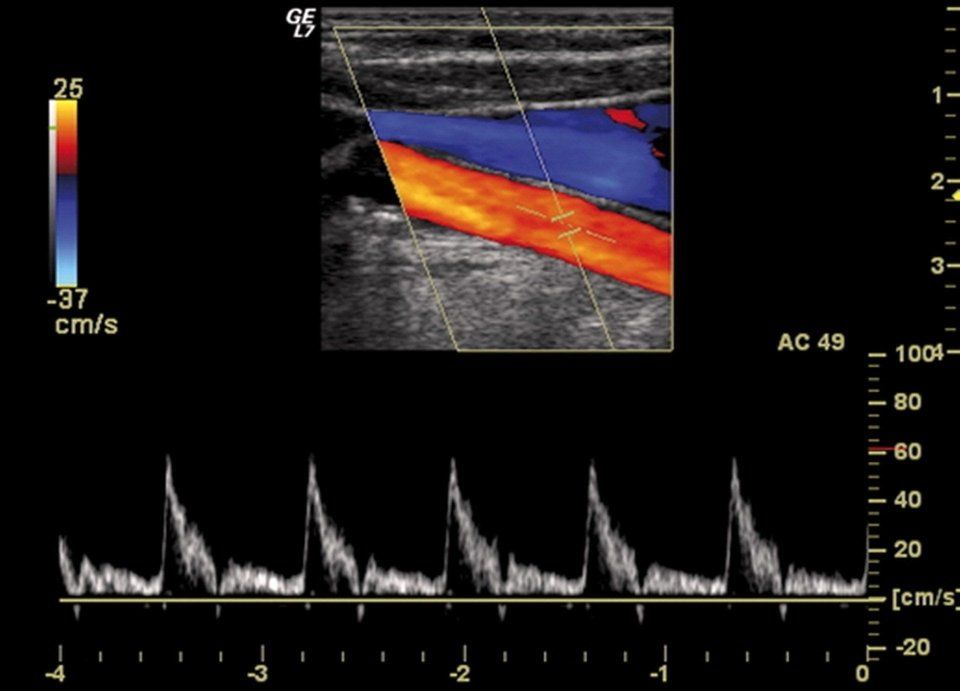
Ecocolordoppler ed ecodoppler
Attraverso l’aggiunta di un effetto doppler all’ecografia è possibile studiare lo stato e la conformazione degli organi interni in tempo reale.
Questo esame consente di evidenziare anche il circolo arterioso, venoso e la vascolarizzazione degli organi, dati essenziali per diagnosticare trombosi, varici, reflussi, restringimenti e occlusioni.
Ecografia
L’ecografia è un esame non invasivo eseguito con una sonda in grado di emettere e registrare onde sonore di ritorno, creando una mappa accurata degli organi interni.
Per funzionare è necessario usare un gel specifico, capace di amplificare le onde sonore per una migliore ricezione.
Ogni nostra 
ecografia a Caserta viene gestita con cura e attenzione grazie alla professionalità dello staff e l’uso di strumenti all’avanguardia.
Per prenotare un’ecografia a Caserta
chiama il centro

  
 
  
 
  
 

