TC Cone Beam a Caserta
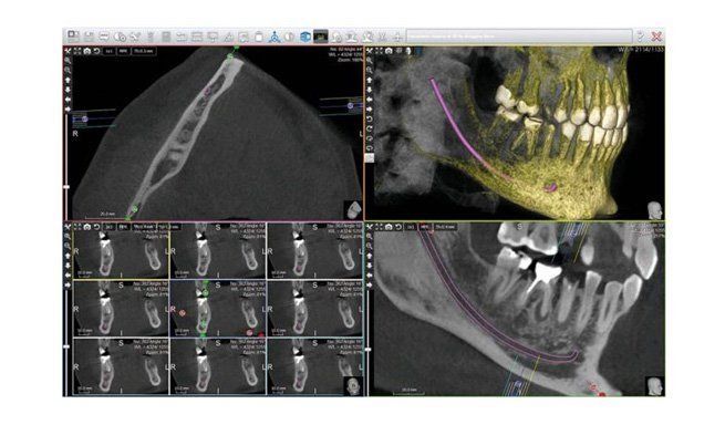
La TC Cone Beam (CBTC) è un’indagine che consente di studiare con alta risoluzione le arcate dentarie del paziente e di visualizzare tutte le strutture anatomiche adiacenti.
TC Cone Beam
Presso il CE.DI.R. di Marcianise è possibile svolgere la CBTC su prenotazione. Rispetto a un esame TC tradizionale, questa tecnologia offre il vantaggio di esporre il paziente a una dose ridotta di radiazioni e di ottenere, al contempo, una migliore risoluzione tridimensionale delle immagini.
Per informazioni più dettagliate sulle modalità di esecuzione dell’esame o per poter effettuare prenotazioni, non esitare a contattare il centro. Siamo aperti dal lunedì al venerdì in orario 8:15-13:45 e 15:00-19:15.
Consulta la mappa per raggiungere il Centro Diagnostico Radiologico

  
 

